
eosinophil, a rare blood cell type. There is a slight de-
crease (< -1 percentage point) in the score of throm-
bocyte and a slight increase (≤ +1 percentage point)
in the scores of the heterophil, lymphocyte, mono-
cyte, and basophil.
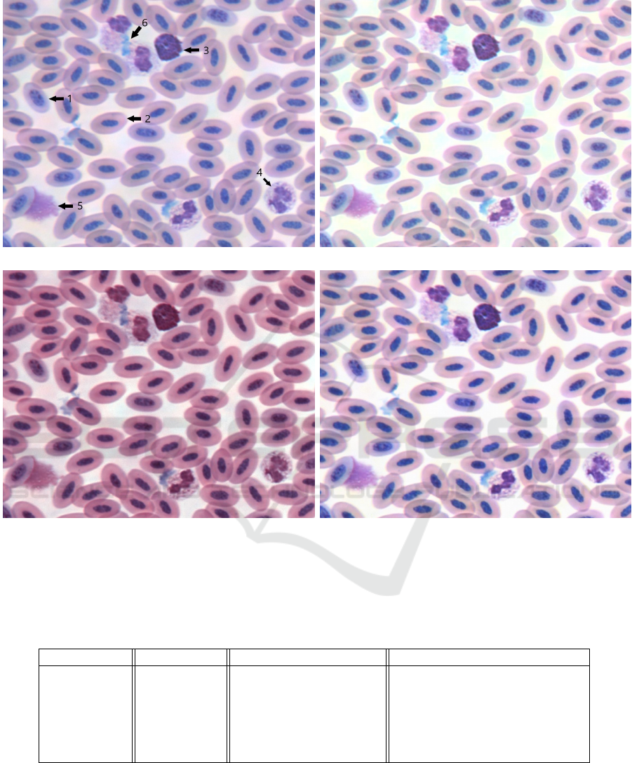
Figure 5 compares the transformed resulting im-
ages of the dataset for the common normalization al-
gorithms. The results show clear differences between
the vibrancy, differentiation, and cleanliness of the
outputs. Figure 6 shows a section of a corrected im-
age, enlarged for detail to display cells and staining
artifacts.
5 DISCUSSION
LinPICT is an intuitive computational algorithm be-
cause it scales linearly and provides a suitable modi-
fication for images with few color palettes. This study
demonstrates the appropriateness of the K-means sep-
aration with 3 classes for blood cell images.
The results of the Macenko et al. images in Fig-
ure 5 demonstrate that color normalization can fail if
an inappropriate mapping is used or if the normaliza-
tion matrix is not calibrated correctly. Although this
algorithm is the fastest of the methods tested (Table
1), the cells are transformed to a magenta hue (Fig-
ure 5-column b). Fine color differentiation between
different cells is lost (Figure 5-8b, 1b), such as be-
tween the basophil and heterophil in Figure 6-c. Ad-
ditionally, the algorithm is not robust to correcting a
hazy or colored background (Figure. 5-4b, 10c, 2c).
The Reinhard et al. model assumes a uni-modal
distribution of pixels. Because of this, the model does
not perform well on complex color spaces. In these
samples, the background region is incorrectly mapped
to a color region (Figure. 5-9c), or discoloration in
the background is not removed (Figure 5-8c, 10c)
(Figure 6-b). Although the color palette of the Rein-
hard et al. images (Figure 5-column c) is similar (Ta-
ble 2) to that of the ideal image (Figure 1), the expen-
sive computational time of 307.6 seconds (Table 1)
is inhibitory for many time and space complexity-
prohibitive applications.
The LinPICT is superior in its background correc-
tion (Figure 5-3d, 4d, 5d, 6d, 8d, 10d, 11d). This is
because the color correction is specific to each class,
and the color channel mappings are independent of
each other. The algorithm produces images that are
similar to the target image (Table 2). Furthermore, un-
like the other algorithms tested, the LinPICT is robust
to capturing the color variation of samples with poly-
chromasia—a blood disease indicated by red blood
cells staining many different colors (Figure 5-4d).
We adapted relevant methods, such as class sepa-
ration and spline-mapping, from the Khan et al. study.
Khan et al.’s algorithm uses a two-class relevance vec-
tor machine classifier to group classes for histology
images. The LinPICT uses a soft k-means unsuper-
vised clustering approach, which allows for more tar-
geted correction of hematology images. The algo-
rithm does not require the overhead estimation of a
stain vector or the calculation of co-variance for prin-
cipal component analysis because it is run on the as-
sumption of equivalent image components. Hence,
batches of images can be processed independently in
parallel. Thus, the method is easily adaptable to new
samples and suitable for an individual image acquisi-
tion and analysis pipeline. While this study was car-
ried out in the RGB color space, the transformation
can be directly carried over to other color models or
representations.
The LinPICT method requires the intermediate
step of classifying model parameters for each image
and is thus more computationally expensive during
runtime than a model that estimates a stain vector us-
ing SVD. The method is best-suited towards data that
can be separated and matched into components. In
this study, the red intensity value gradation allowed
for the matching of clusters to the image components.
Under this condition of differentiation, the model will
continue to perform well on images with numerous
components while maintaining linear time complex-
ity.
An important consideration in assessing the effi-
cacy of the model is the subjectivity of choosing a
target image as the individual user must determine the
ideal levels of cell density, coloration, distinction be-
tween cell types, and contrast. A future study may
include cross validating the accuracy of various target
images to determine the ideal target.
The LinPICT model is an efficient pre-processing
procedure ideal for standardizing stain appearance
in hematology images. Information from digital
morphological analysis aids the diagnosis of blood
pathologies, such as anemia and leukemia, but the
present gold standard is limited to manual segmen-
tation strategies for exotic species. Coupled with the
developments in information technology and digital
imaging, the LinPICT algorithm may increase auto-
matic segmentation accuracy, saving time and labor
costs and improving diagnostic quality.
REFERENCES
Anghel, A., Stanisavljevic, M., Andani, S., Papandreou, N.,
R
¨
uschoff, J. H., Wild, P., Gabrani, M., and Pozidis, H.
A Linear, Pixel-specific Color Normalization Algorithm for Hematology Imaging
207