
enterocolitica from diverse fishes. While, these techniques presented a distinct advantage with
efficiency, simplicity, lower costs and universality of primers used [24].
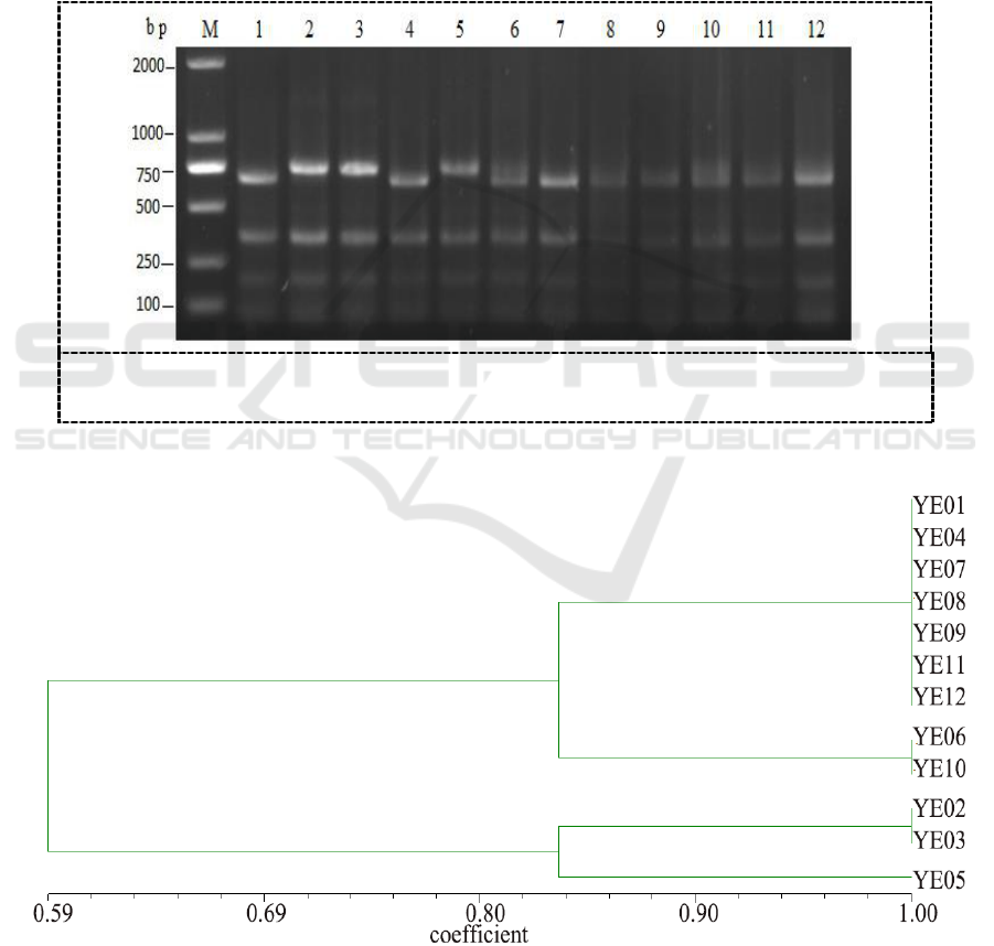
Y. enterocolitica invasion factor encoding gene ail is presently stable in chromosomal that
attributed to pathogenic biotypes Th reported ystB gene to be presented us, some researchers have
established detect methods based on ail gene for Y. enterocolitica detection [25]. The result of this
study indicated that all Y. enterocolitica strains tested were all positive for ail gene. The result was
consistent with a previous study in which 172 Y. enterocolitica strains isolated from conventional and
antimicrobial-free pig production systems from different geographic regions [26]. However, the ystB
gene, producing an enterotoxin, presented in 75% (10 of 12) of the isolates which was much higher
than the results reported by Tadesse et al., and in contrast to other studies, which reported that ystB
gene was presented only in biotype 1A strains [27]. Y. enterocolitica strains in this study were
isolated from aquatic fish, while other studies were from animals and humans, it might be related to
the distribution of isolated species.
Plasmid-borne genes yadA and virF were selected as markers in this study. Interestingly, most of
the isolated strains were positive for virF (83.3%), while only 5 of them positive for yadA (41.6%).
This was accord with previous studies [28], in which Y. enterocolitica strain virF was positive while
yadA was negative. It suggested that perhaps virulence genes virF and yadA were not located on the
same plasmid every time. Moreover, the virulence plasmid could be easily lost because of repeatedly
cultivation or storage in room temperature for a long time. On the other hand, plasmids acted as
mobile elements and were transferable between bacterial strains which could be likely gained or lost
under selective pressure. In addition, amount of virulence genes were clustered in a genomic island
called Yersinia high-pathogenicity island (HPI) in Y. enterocolitica 1B isolates. Genes harbored on
the island, including the mobility module locus termed asn-int, might play a role in encoding for
biosynthesis and transportation of yersiniabactin (Ybt), and mediated iron acquisition [29]. Gene intB,
a unidirectional site-specific recombinase, was the main part of the genetic dissemination machinery.
In this study, all the strains were positive for intB, manifesting that this gene had been integrated
stability in the bacteria strains. Therefore, the isolates might be potential pathogenic to fish, while
further studies were needed for validating the pathogenesis in aquatic animals.
Antimicrobials are not usually recommended to treat uncomplicated yersiniosis, however, in more
severe cases, such as focal extra-intestinal infection or septicaemia, use of antimicrobials is required
[30]. In present study, the antimicrobial resistance of isolates was tested against some antibiotic drugs,
which were common used in human and aquatic treatments. The antimicrobial resistance profile
showed that 100% of the strains were resistant to lincomycin, which played a role as erythromycin.
Likewise, Estrella et al. found a very high resistance rate (100%) of this agent among pork and
chicken in Italy [21]. In previous studies, Y. enterocolitica strains were sensitive to polymyxin B [31].
However, in this study, all isolates were intermediately sensitive to polymyxin B. It insinuated that
the percentage of Y. enterocolitica strains resistant to polymyxin B had been increased over times.
A few strains were resistant to streptomycin agreed with previously published results, but differed
from the observation that the Y. enterocolitica organisms collected from pork and chicken in Italy,
during 2006 and 2007 [32-33]. Additionally, a lower resistance level to trimethoprim/
sulfamethoxazole (8.3%) was observed, in contrast to a study in Latvia, which reported a high
sensitivity of trimethoprim/sulfamethoxazole among Y. enterocolitica strains in slaughter pigs. The
resistance against sulfamethoxazole (41.6%) in this study was much higher than previous studies
observed by Bonke et al. [34]. and Meyer et al.[35]. Based on these data, it might be the use of
antibiotic agents varied in different countries and fish-raised farms.
5. Conclusions
The genotype diversity, virulence genes and antibiotic resistance of Y. ertrocolitica strains isolated
from fish were studied by molecular biology and pharmacological methods. Fish might become the
IWEMSE 2018 - International Workshop on Environmental Management, Science and Engineering
660