
Automatic Tooth Identification in Dental Panoramic Images with
Atlas-based Models
Selma Guzel
1
, Ayse Betul Oktay
2
and Kadir Tufan
3
1
Department of Computer Engineering, Gebze Institute of Technology, 41400, Kocaeli, Turkey
2
Department of Computer Engineering, Istanbul Medeniyet University, 34700, Istanbul, Turkey
3
Department of Computer Engineering, Fatih University, 34500, Istanbul, Turkey
Keywords:
Tooth detection, Tooth labeling, Haar, SVM, Atlas-based Model.
Abstract:
After catastrophes and mass disasters, accurate and efficient identification of decedents requires an automatic
system which depends upon strong biometrics. In this paper, we present an automatic tooth detection and
labeling system based on panoramic dental radiographs. Although our ultimate objective is to identify dece-
dents by comparing the postmortem and antemortem dental radiographs, this paper only involves the tooth
detection and the tooth labeling stages. In the system, the tooth regions are first determined and the detection
module runs for each region individually. By employing the sliding window technique, the Haar features are
extracted from each window and the SVM classifies the windows as tooth or not. The labeling module labels
the candidate tooth positions determined by the SVM with an atlas-based model and the final tooth positions
are inferred. The novelty of our system is combining the atlas-based model with the SVM under the same
framework. We tested our system on 35 panoramic images and the results are promising.
1 INTRODUCTION
Decedent identification after catastrophes is very cru-
cial for many reasons including relieving the family’s
distress, issuing a death certificate for legacy, and in-
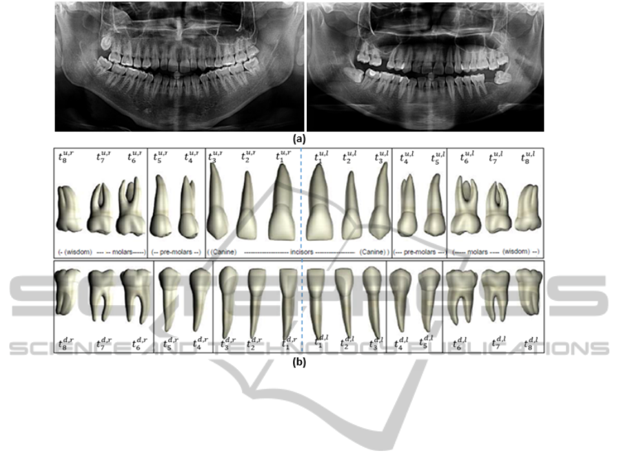
surance. Using dental panoramic radiographs (See
Figure 1(a)) for decedent identification satisfies the
limitations of the other biometrics, such as DNA and
fingerprint, due to the durable structure of teeth (Sen,
2010). However, if identification is performed manu-
ally, it takes a long time. Moreover, if some change-
able characteristics are utilized, the accuracy rate may
decrease (Zhou and Abdel-Mottaleb, 2005). There-
fore, an automatic dental identification system is very
important for fast and reliable decedent identification.
There exist many studies in the literature (Lin and
Lai, 2009; Mahoor and Abdel-Mottaleb, 2005; Push-
paraj et al., 2013) for identification based on dental ra-
diographs. The Automated Dental Identification Sys-
tem in (Abdel-Mottaleb et al., 2003) isolates the teeth
using the integral intensity projection method and it
is accepted as the pioneer in terms of the tooth isola-
tion approach. In (Zhou and Abdel-Mottaleb, 2005),
the snake method is employed to isolate the teeth in
advance of using the integral intensity projection to
determine the initial contours. These two studies are
tested on bitewing images. In (Jain et al., 2003), the
same method in (Zhou and Abdel-Mottaleb, 2005) is
used for tooth isolation before applying the Bayesian
rule to determine the tooth contours. It is tested on
both bitewing and panoramic images; but, the system
is semi-automatic. The system in (Jain et al., 2003)
eliminates the inaccurate segmentation lines using the
dental pulp which is also utilized in (Frejlichowski
and Wanat, 2011) instead of the gaps between the
teeth for separating the adjacent teeth. In (Lin et al.,
2010), the SVM classifier runs with several geometri-
cal tooth features to classify a tooth. The tooth identi-
fication is completed after labeling the teeth according
to a particular pattern. The system is tested only on
bitewing images. In (Jain and Chen, 2005), the fusion
of three SVM classifiers are used for tooth classifica-
tion and the Markov chain model is used for labeling.
The system is tested on a few panoramic dental radio-
graphs.
In this paper, we propose a novel tooth identifi-
cation system based on machine learning and atlas-
based models (Guzel, 2014). We combine the ap-
pearance information of teeth in panoramic images
with the geometrical information under the atlas-
based model. The appearance of teeth are extracted
with Haar descriptors (Viola and Jones, 2001) and
136
Guzel S., Betul Oktay A. and Tufan K..
Automatic Tooth Identification in Dental Panoramic Images with Atlas-based Models.
DOI: 10.5220/0005179701360141
In Proceedings of the International Conference on Pattern Recognition Applications and Methods (ICPRAM-2015), pages 136-141
ISBN: 978-989-758-077-2
Copyright
c
2015 SCITEPRESS (Science and Technology Publications, Lda.)