
P
ω
i
j
|ω
i
k
, i
k
∈ N
i
j
, where N
i
j
is a neighbourhood of
i
j
.
The segmentation of an image I with the MRF
framework presented above, one must find an optimal
labelling. Due to the Hammersley-Clifford Theorem
(Hammersley and Clifford, 1971), we can calculate
the global energy for a labelling by summarizing the
local energies for each pixels if P(ω) follows a Gibbs
distribution. We split the local energy into two terms
for all i
j
:
E
singleton
(i
j
) = P(i
j
|ω
i
j
=
1
√
2πσ
ω
i
j
exp
i
j
ν
ω
i
j
2
2σ
ω
i
j
,
where σ is the standard deviation and the ν is the mean
of the sample.
E
doubleton
(i
j
) = V ( j, k) =
(
−β if ω
i
j
= ω
i
k
β otherwise.
The first term considers the distribution of the pixel
labels as Gaussian. For this term, the σ and ν must be
determined prior segmentation. Usually, this task re-
quires training. The second term is a smoothness prior
ensuring homogeneous segmentation of clustered re-
gions. In this case, the global energy U is the follow-
ing:
U =
∑
j=0
n
E
singleton
(i
j
) + E
doubleton
(i
j
)
.
The optimization of MRF configuration can be
done by optimizingU. If P(ω) follows a Gibbs distri-
bution, simulated annealing (Kirkpatrick et al., 1983)
converges to the optimal solution with 1 probabil-
ity. However, simulated annealing tends to be slow
in some cases. However, Iterated Conditional Modes
(ICM) (Besag, 1986) can also be effective if there is a
good initial configuration.
3 UNSUPERVISED
MRF-ENSEMBLES
As we stated in Section 2, the usual optimization of
MRFs needs training. In this section, we present an
approach to lose this dependency. For this task, we
use the basic idea of Bit Plane Slicing (BPS) (Gonza-
lez et al., 2009). BPS considers an image as a series
of planes in the following way:
BSP( j,k) =
(
1 ifthejthbitofi
k
∈ Iisset
0 otherwise.
,
where j = {0, 1, ..., 7 for a standard 8-bit grayscale
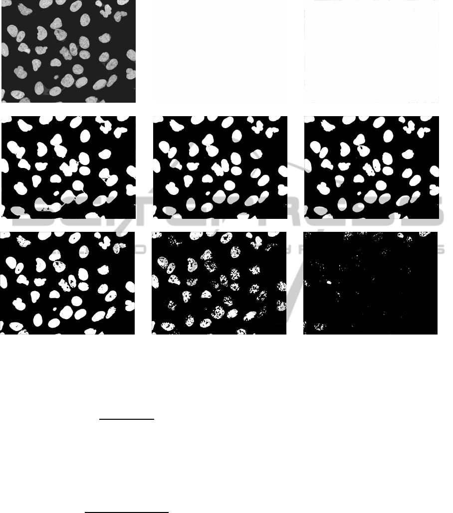
image. The planes created by BSP can be seen in Fig-
ure 2 on a sample image. A plane can be regarded as
an initial labelling of the original image without hav-
ing any prior knowledge about the image. In this way,
we can calculate the parameters for E
singleton
and start
the optimization process from an initial configuration.
As no single plane can be selected obviously as a
proper initial labelling for an MRF, we propose to use
all of them as an ensemble (Antal and Hajdu, 2012a)
(Antal and Hajdu, 2012b). That is, we run the op-
timization eight times using each plane as the initial
labelling. Then, we can use pixelwise voting (Nagy
et al., 2011) on the resulting eight images. In this
way, each pixel on the resulting image will be hav-
ing a confidence level between 0 and 7 depending on
how many of the segmentations labelled them as ob-
ject points. In Figure 3, we can see a probability map
generated from the confidence levels, and the results
for thresholding the probability map at the different
confidence levels.
4 METHODOLOGY
In this section, we provide a brief overview on the
methodologywe used in this experiment. First, in sec-
tion 4.1, we present the database we used. Then, we
introduce our evaluation procedure in section 4.2.
4.1 Database
We used the U2OS microscope cell image database
(Coelho et al., 2009). The database consists of 50
images with 1349 × 1030 resolution in PNG format.
The database contains 1830 cells, which a per image
cell count between 24 and 63. We did not use any of
the hand-segmented ground truth for learning.
4.2 Evaluation
To evaluate our segmentation approach, we have con-
sidered several metrics. In this section, we briefly in-
troduce the selected set of evaluation metrics.
For each metrics, we use the following notations.
Let I = {i
1
, i
2
, . .. , i
n
} be an image, S = {s
j
∈I}, j =
1, ... , k, k ≤ n be the result of the segmentation and
G = {g
j
∈ I}, j = 1, ..., l, l ≤ n be the ground truth.
Then, we use the following notation:
• n
00
=
n
∑
j=1
{1|i
j
/∈ S∧i
j
/∈G}.
• n
01
=
n
∑
j=1
{1|i
j
/∈ S∧i
j
∈G}.
• n
10
=
n
∑
j=1
{1|i
j
∈ S∧i
j
/∈G}.
AnUnsupervisedEnsemble-basedMarkovRandomFieldApproachtoMicroscopeCellImageSegmentation
95